 |
| |
| Block 5: Silicosis and Coal Workers’ Pneumoconiosis - Silica Dust And The Reaction Of The Lung To Retained Silica. |
Silica dust and the reaction of the lung to retained silica:
- Silica = SiO2
- Silica is abundant in nature and occurs in different states. The panel on the right shows crystalline alpha quartz which has a unique x-ray diffraction signal inserted in the smaller panel.
- Crystalline forms:
- Alpha Quartz (the commonest);
- Crystobolite;
- Tridymite;
- Amorphous forms, such as clay.
- Amorphous forms of silica are much less pathogenic than crystalline silica and have a different P.E.L. Heating amorphous silica, e.g. in brick kilns can result in crystalisation into crystobolite, a less usual form of crystalline silica which is considered to be more pathogenic than alpha quartz.
|
 |
Electron microscope scans of quartz dust from SA gold mines:
The figures above show two alpha-quartz particles approximately 3 microns in size. Note the fractured nature of the particle surface. This greatly increases its surface area for interaction with tissue. The fractured surface comprises many biologically active sites that, when they interact with tissue water, can produce hydroxl groups and peroxides that can damage membranes (such as lysosomes) and initiate inflamation.
 |
|
The photograph shows a dust particle about to be phagocytosed by an alveolar macrophage. Once this has occurred and the particle is transported across the alveolar lining and into the lung interstitium, the macrophage may: a) transport the particle(s) elsewhere (e.g. lymphoid aggregates or hilar nodes); b) die and release cytokines and the particles to be re-phagocytosed; c) become activated and release cytokines that result in an inflamatory response ultimately resulting in fibroblast formation and collagen proliferation. |
The process is shown in the diagram below:

- In the lung the on-going inflammatory response results in localised areas of inflamation and fibrosis that appear as nodules in the lung.
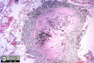
- Silicotic nodules are a recognisably distinct lung reaction to crystalline silica. They comprise a central hyaline core surrounded by whorls of collagen, as illustrated.
- Using polarised light refractile silica particles may be seen in the nodule.
|
|
 |
 |
|
- The risk of developing silicotic nodulation and silicosis is related to the total dose of quartz retained by the lung, which is also a function of cumulative exposure.
- This figure shows the proportion of people who developed silicosis in four different studies of exposed workers, including SA gold miners (square blocks). Risk is related to cumulative exposure to respirable crystalline silica.
- Question: use the figure to estimate the risk of silicosis in a population who have worked for 30 years in a silica environment where the exposure is 0.1 mg/cubic meter.
Answer: the population has a cumulative exposure of 3 mg/cubic meter years (30 x 0.1). Three of the studies closely agree that this caries a silicosis risk of 20 - 30%.
|




Postgraduate Diploma in Occupational Health (DOH) - Modules 3 – 5: Occupational Medicine & Toxicology by Prof Rodney Ehrlich & Prof Mohamed Jeebhay is licensed under a Creative Commons Attribution-NonCommercial-ShareAlike 3.0 Unported License.
Permissions beyond the scope of this license may be available at http://www.healthedu.uct.ac.za/